Самый простой способ, благодаря которому можно разглядеть внутренние органы, – это рентгенологическое исследование.
Основным показателем для его проведения являются заболевания бронхов и легких. Довольно часто специалист определяет на рентгене усиление легочного рисунка. Что это такое?
Не стоит паниковать раньше времени и лучше дождаться разъяснения врача.
Легочный рисунок – что это такое?
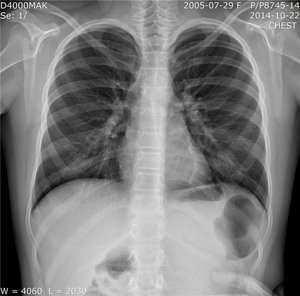
Если легкие у человека полностью здоровы, то нормальный легочный рисунок представляет собой картину циркулирующей по венам и артериям крови. Лимфатические узлы или бронхи не принимают участия в тенеобразовании. Рисунок хорошо просматривается в прикорневой зоне, где максимальный диаметр сосудов, с постепенным ослаблением к периферии, становясь еле видимым.

Усиление легочного рисунка на рентгене является важным диагностическим признаком, который может указывать на различные заболевания легких. Врачи отмечают, что это явление связано с изменениями в легочной ткани, такими как отек, воспаление или наличие патологических процессов. Увеличение сосудистого рисунка может свидетельствовать о сердечно-сосудистых заболеваниях, таких как сердечная недостаточность, в то время как усиление бронхиального рисунка может указывать на хронические заболевания, такие как бронхит или астма. Специалисты подчеркивают, что для точной интерпретации рентгенограмм необходимо учитывать клиническую картину пациента и результаты дополнительных исследований. Правильная диагностика и своевременное лечение могут существенно улучшить прогноз для пациента.

Изменение легочного рисунка при заболеваниях
Нормальный легочный рисунок может измениться, если имеются патологии органов средостения и заболевания легких. Связано это с тем, что вокруг кровеносных сосудов возникает воспаление, вызывая утолщение их стенок, что обязательно отражается на рентгенограмме. В тенеобразовании начинают принимать участие и стенки бронхов – происходит их утолщение, между соединительной тканью возникают прослойки, которые в норме должны отсутствовать.
Благодаря тому, что вид у лимфатических и кровеносных сосудов сильно извитой, то они становятся хорошо заметными. Такой усиленный сосудистый рисунок обычно наблюдается при различных заболеваниях, которые сопровождаются выраженными нарушениями гемодинамики:
- пневмосклероз,
- сочетанный стеноз митрального клапана,
- саркоидоз 2 – 3 стадии.
Снимок с высокой достоверностью может изучаться только на томограмме высокого разрешения или рентгенограмме. Оптимальным считается назначение исследования, которое проводится лучами высокой жесткости, так как на таких снимках отлично наблюдаются все отделы легких. Чтобы уточнить диагноз, важна оценка рентгенограмм, которые сделаны в разное время, и динамическое наблюдение. Существует два вида изменения легочного рисунка – разрежение и усиление.
В каких случаях отмечается усиление легочного рисунка?

Хотя на рентгенографии бронхи деформированы и сближены, но они являются проходимыми, а на бронхографии специалист может обнаружить бронхоэктазы. После острой пневмонии остаточные явления могут длительное время проявляться в виде усиления легочного рисунка и сохраняется такое состояние до полугода.
Усиление легочного рисунка на рентгене — это термин, который вызывает много вопросов у пациентов. Многие люди, увидев этот диагноз, начинают паниковать, не понимая, что это может означать. На самом деле, усиление легочного рисунка может быть связано с различными состояниями, такими как воспаление, инфекция или даже аллергические реакции. Некоторые пациенты делятся своим опытом, отмечая, что врачи объясняли им, что это не всегда свидетельствует о серьезных заболеваниях. Важно помнить, что рентген — это лишь один из методов диагностики, и для точного понимания состояния легких могут потребоваться дополнительные исследования. Люди советуют не спешить с выводами и всегда обращаться за разъяснениями к специалистам, чтобы избежать ненужного стресса.

В каких случаях стоит бить тревогу?
Любой человек, который видит в диагнозе непонятное слово, начинает беспокоиться. На самом деле не стоит расстраиваться раньше времени. Достаточно часто заключение «усиление легочного рисунка» бывает следствием гипердиагностики, чем обычно «грешат» рентгенологи. При постановке диагноза хронический бронхит, довольно часто врачи не проверяют дополнительные анализы рентгеновских снимков, которые были сделаны некоторое время назад.
Объясняется это тем, что у врачей муниципальных поликлиник на такое разбирательство обычно не хватает времени. Помимо этого, рентген считается субъективным методом исследования, когда решение принимает человек, полагаясь только на свой опыт, поэтому не исключены ошибки. Формулировка «усиление легочного рисунка» не является смертельным диагнозом и иногда не имеет практического значения. Но в тех случаях, когда в заключении указана конкретная патология – пневмония, опухоли или туберкулез, то лечение откладывать нельзя.
Усиление легочного рисунка у ребенка

Если в заключении написано «усиление легочного рисунка», то это может указывать на бронхит или пневмонию. Но часто такой рисунок получается из-за нарушения правил обследования, например, когда ребенок при исследовании плакал или не задержал дыхание.
Преимущества рентгенографии
Эта процедура осуществляется довольно быстро, а результат на мониторе компьютера появляется через несколько секунд. Кроме этого, преимущества рентгенологического исследования следующие:
- безопасность для пациента,
- благодаря предварительному контрастированию можно поставить точный диагноз в сомнительных случаях,
- небольшое количество противопоказаний,
- можно получить дополнительную информацию в процессе исследования, используя программное обеспечение.
Таким образом, если при проведении рентгенологического исследования специалист сделал заключение «усиление легочного рисунка», то не стоит паниковать раньше времени, так как это не всегда указывает на серьезное заболевание.
Вполне вероятно, что произошла какая-то ошибка при исследовании.

Вопрос-ответ
Что означает усиленный рисунок легких?
Усиление легочного рисунка в прикорневой зоне прослеживается при хроническом поражении бронхиального дерева, при котором снижена проходимость воздуха по бронхам. На фоне патологии развивается ослабление, усиление, обогащение кровоснабжения легких вдоль бронхов, но для развития данных изменений требуется время.
Что значит лёгочный рисунок обогащен?
Обогащение легочного рисунка характеризуется увеличением структурных элементов легкого в единице площади и может быть обусловлено измененными сосудистыми элементами, лимфатическими сосудами, уплотненными бронхиальными стенками и соединительной тканью.
Что означает фраза «легочный рисунок усилен, корни расширены» в заключении рентгенолога?
Корни легких расширены – фраза, которую часто можно наблюдать на заключении рентгенолога. Она свидетельствует о ряде патологических заболеваний, которые развиваются не только в легких, но и в сердечно-сосудистой системе, а иногда – и в более отдаленных от бронхолегочной системы органах.
Что такое синдром изменения легочного рисунка?
Синдром патологии легочного рисунка включает в себя любые изменения рентгенологической картины легочного рисунка. Различают следующие типы изменений: Усиление рисунка – усиление числа и калибра рисунка в единице площади легочного поля. Данная картина наиболее типична для нарушения кровообращения в легких.
Советы
СОВЕТ №1
Обратите внимание на контекст: усиление легочного рисунка может быть связано с различными заболеваниями, такими как пневмония или хронические обструктивные болезни легких. Важно учитывать сопутствующие симптомы и историю болезни для правильной интерпретации рентгеновских снимков.
СОВЕТ №2
Не игнорируйте рекомендации врача: если вам назначили рентгенографию легких, обязательно обсудите результаты с врачом. Он сможет объяснить, что именно означает усиление рисунка в вашем конкретном случае и какие дальнейшие шаги следует предпринять.
СОВЕТ №3
Следите за состоянием легких: если у вас есть предрасположенность к заболеваниям органов дыхания, регулярно проходите медицинские обследования. Это поможет выявить изменения на ранних стадиях и предотвратить развитие серьезных заболеваний.
СОВЕТ №4
Изучайте информацию: ознакомьтесь с материалами о рентгенографии и заболеваниях легких. Чем больше вы будете знать о своем здоровье и возможных патологиях, тем более осознанно сможете подходить к вопросам диагностики и лечения.
