Пневмофиброз — патология легких, сопровождающаяся разрастанием соединительной ткани на фоне дистрофических или воспалительных процессов в легочной ткани, последствии в итоге приводящей к уменьшению объема легких, деформациям бронхов и, как следствие, к дыхательной недостаточности.
Причины возникновения пневмофиброза
Пневмофиброз, как правило, возникает вторично на фоне следующих процессов и факторов:
- Прием токсических лекарственных средств,
- Курение,
- Туберкулез,
- Механические повреждения легочной ткани (травмы),
- Инфекции или инвазии,
- Застой крови в сосудах легких,
- Длительное воздействие пыли, радиации и других негативных факторов.
Достаточно часто возникновение пневмофиброза связано с гипоксией в ткани легкого с последующей активацией фибробластов (клетки, вырабатывающие коллаген), то есть развитием первой стадии образования соединительной ткани.
Пусковым механизмом для развития гипоксии могут стать нарушение лимфооттока, дренажной функции бронхов, вентиляции легких и легочного кровотока.
В норме легочная ткань эластична, благодаря чему обеспечивается нормальная работа всей дыхательной системы. Чем выше эластичность, тем больше усилий требуется организму для растяжения легких и тем выше внутрилегочное давление.
Давление в легочной ткани воздействует на стенки альвеол, благодаря чему последняя раскрывается при вдохе. При пневмофиброзе поражается большая часть альвеол, в результате чего эластичность легочной ткани снижается и организм прилагает меньше усилий для их растяжения.
Следовательно, внутрилегочное давление снижается. Низкое давление в легких приводит к тому, что часть альвеол не раскрывается и, следовательно, не участвует в процессе дыхания. В итоге организм недополучает кислород и вентиляция в легких нарушается.
Наличие воспаления в бронхах приводит к нарушению оттока бронхиального секрета и, следовательно, к его накоплению. Застоявшийся секрет отличный субстрат для размножения патогенных микроорганизмов.
Отток крови и лимфы нарушается вследствие передавливания легочных сосудов и застойных процессах в сосудах, что прилегают к легочной ткани.
Застой крови возникает из-за спазмов и воспалительных процессов. В местах застоя образуется соединительная ткань, впоследствии замещающая рядом находящиеся альвеолы.
Иными словами, основой для развития пневмофиброза является воспалительный очаг в легких, который и провоцирует замещение ткани легкого соединительной тканью.
В зависимости от того или иного фактора, что провоцирует возникновение патологического процесса, соединительная ткань может развиваться по-разному: если нарушена вентиляция в легких, то развитие соединительной ткани является первопричиной пневмофиброза, а при наличии застоя — соединительная ткань его следствие.
Прогрессирование заболевания ведет к выпадению легочной ткани из дыхательного процесса, и, как следствие, к возникновению дыхательной недостаточности и нарушению газообмена между сосудами и тканями, капиллярами и альвеолами.
Врачи отмечают, что развитие плевропневмофиброзов легких представляет собой серьезную медицинскую проблему, требующую внимательного подхода. Диффузный тип заболевания характеризуется равномерным поражением легочной ткани, что может привести к значительному ухудшению функции дыхания. Специалисты подчеркивают важность ранней диагностики, так как на начальных стадиях заболевание может протекать бессимптомно. Прикорневой тип, в свою очередь, часто ассоциируется с хроническими воспалительными процессами и может быть следствием длительного воздействия вредных факторов, таких как курение или профессиональные вредности. Врачи рекомендуют регулярные обследования для выявления изменений в легких, а также комплексное лечение, включающее как медикаментозную терапию, так и реабилитационные мероприятия. Профилактика и своевременное вмешательство играют ключевую роль в улучшении прогноза для пациентов с данными формами плевропневмофиброзов.

Классификация
Выделяют следующие типы заболевания:
- Диффузный пневмофиброз — когда уплотнена вся поверхность одной (или обеих) долей легкого, из-за чего происходит нарушение дыхательной и вентиляционных функций. Ткань органа уплотняется, приводя к потере объема и эластичности,
- Локальный (очаговый) пневмофиброз. На пораженном участке возникает уплотнение и легочная ткань в этом месте теряет объем, однако общее состояние органа при этом страдает мало.
Также различают:
- Пневмофиброз прикорневой. Уплотненные участки располагаются вблизи корней легких. Процесс уплотнения является следствием перенесенных ранее пневмоний, бронхитов и так далее. Причем болезнь развивается через несколько лет после основного заболевания,
- Базальный тип. Диагноз ставится на основании проведенного рентгенологического исследования (уплотнения располагаются у основания легкого, то есть в базальном отделе). Лекарственную терапию в этом случае назначают при сопутствующих воспалительных процессах в легких или бронхах, при их отсутствии ограничиваются дыхательной гимнастикой и лечением травами,
- Пневмофиброз линейный. Является следствием острых бронхитов, пневмоний или туберкулеза,
- Интерстициальная форма. Результат воспалительных процессов в кровеносных сосудах. Часто сопровождается одышкой,
- Тяжистая форма. Следствие хронического воспаления в легочной ткани, на фоне которого происходит разрастание соединительной ткани. У молодых людей тяжистый пневмофиброз часто возникает вследствие курения, так как из-за сигаретного дыма происходит нарушения функций бронхов и возникают застойные явления в них,
- Умеренный пневмофиброз. Небольшие поражения ткани легких. Общее функциональное состояние органа не нарушено,
- Поствоспалительная форма. Развивается на месте воспалительных процессов.
В соответствии с течением болезни выделяют:
- Прогрессирующую форму. Нарастание симптоматики, ухудшение общего состояние больного, частые осложнения,
- Непрогрессирующую форму.
Пневмофиброз в детском возрасте
Причинами развития болезни у детей являются заболевания дыхательной системы (бронхиты, пневмонии и так далее), а также постоянное влияние дыма и пыли.
Развитие плевропневмофиброзов легких вызывает множество обсуждений среди медицинских специалистов и пациентов. Многие отмечают, что диффузный тип заболевания чаще встречается у людей с хроническими легочными заболеваниями, такими как хронический бронхит или астма. Прикорневой тип, в свою очередь, может быть связан с воздействием вредных факторов, таких как курение или профессиональные риски. Важно, что ранняя диагностика и правильное лечение играют ключевую роль в замедлении прогрессирования болезни. Пациенты делятся опытом о том, как изменения в образе жизни и регулярные медицинские осмотры помогают улучшить качество жизни. Врачи подчеркивают необходимость комплексного подхода к лечению, включая медикаментозную терапию и реабилитацию, что позволяет многим людям справляться с симптомами и поддерживать активный образ жизни.

Симптоматика заболевания
Больные с локальными формами пневмофиброза, как правило, жалоб не имеют, так как общее состояние не меняется. Обнаруживается локальное поражение ткани легких во время проведения флюорографии или рентгенологического исследования.
Диффузный пневмофиброз имеет яркую симптоматику:
- Нарастающая одышка,
- Сухой кашель, усиливающийся при глубоком дыхании,
- Общая слабость, апатия,
- «Барабанные палочки» (утолщения конечных фаланг пальцев на руках),
- Возможно повышение температуры тела,
- Периодически появляющиеся болевые ощущения в груди и ребрах,
- Постепенный переход сухого кашля во влажный с вязкой гнойной мокротой,
- При аускультации — хрипы в нижних отделах и «трение пробки» (характерный при пневмофиброзе звук),
- Бледность кожных покровов (цианоз) — вследствие гипоксии — кислородного голодания организма,
- При осложнениях возможно появление кровохарканья или мокроты с прожилками крови (то есть признаки нарушения кровообращения в малом круге),
- Если пневмофиброз развился на фоне бронхитов или пневмоний, то симптомы этих (первичных) заболеваний будут также присутствовать.
Диагностика
Заметив признаки пневмофиброза (во внимание берутся жалобы, данные общего осмотр и анамнез), больного направляют на консультацию к пульмонологу.
Кроме того, проводят следующие диагностические процедуры:
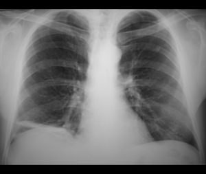
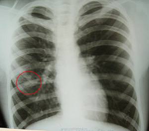
- Рентгенологическое исследование легких. Позволяет выявить заболевание на начальных этапах и провести дифференциальную диагностику, например, с раком легкого, имеющим сходную симптоматику. Главным признаком пневмофиброза является усиление и деформация легочного рисунка, расширение сосудистого пучка и тени с неровными заостренными контурами. Запущенный пневмофиброз выглядит на снимке в виде «пчелиных сот», то есть видны полые и уплотненные участки, чередующиеся друг с другом или/и рубцовых деформаций корней легких (пневмофиброз прикорневой),
- Исследование функции внешнего дыхания (индекс Тиффно). Снижения индекса ниже 70% указывает на развитие патологического процесса (пневмофиброза). Также при этой патологии будут снижены показатели ЖЕЛ (жизненной емкости легких) и ФЖЕЛ (функциональной жизненной емкости),
- Исследования бронхов. Применяется для определения формы пневмофиброза. Так, при диффузной форме изменения в бронхах отсутствуют, а при очаговой выявляются бронхоэктазы (мешочковидные расширения бронхов),
- Биопсия легочной ткани,
- Компьютерная томография,
- Общий анализ крови,
- Ангиопульмонография (исследование легочных кровеносных сосудов) — выявление их передавливаний и так далее.

Лечение
Терапия пневмофиброза направлена на:
- Устранение основной причины заболевания и влияния негативных факторов,
- Остановить развитие пневмофиброза (его прогрессирование),
- Облегчить состояние пациента,
- Не допустить развитие удушья.
Если первопричиной болезни была пневмония, назначают адекватную антибиотикотерапию в сочетании с лечебной физкультурой.
Лечение продолжают до полного рентгенологического и клинического выздоровления. После этого пациенты наблюдаются у пульмонолога в течение года.
При пневмофиброзе больным показан прием отхаркивающих средств (бромгексин) и «дренажное» положение тела, заняв которое больной облегчает отхождение вязкой мокроты.
При осложнении пневмофиброза воспалительными процессами назначают прием антибиотиков широкого спектра действия (цефалоспорины, макролиды) и глюкокортикостероиды.
Если первопричина заболевания кроется в сердечной недостаточности или других заболеваниях сердца, которые могут быть и следствием пневмофиброза, рекомендуется прием сердечных гликозидов (коргликона или строфантина).
Медикаментозное лечение, как правило, сочетают с:
- Приемом поливитаминов,
- Физиотерапией,
- Ионофорезом,
- Ультразвуком с лечебными веществами,
- Оксигенотерапией (насыщает организм кислородом),
- Дыхательной гимнастикой (помогает вентилировать участки легких, пораженные пневмофиброзом),
- Диетой (прием продуктов, максимально содержащих витамины А и группу В, а также калий, кальций и медь),
- Массажем грудной клетки,
- Пешими прогулками.
Профилактика пневмофиброза
- Своевременное и адекватное лечение болезней, осложнением которых может быть развитие пневмофиброза,
- Отказ от вредных привычек (курение),
- Ежегодное обследование (флюорография),
- Своевременное обращение к специалистам,
- Улучшение условий работы (либо смена рода деятельности) и соблюдение техники безопасности (ношение респираторов и так далее),
- Частая влажная уборка и проветривание жилища.
Вопрос-ответ
Что означает диагноз диффузный пневмофиброз?
Диффузный пневмофиброз – это состояние, когда легкие уплотнены, уменьшены в объеме и имеют нарушенную нормальную их структуру. Полноценная вентиляция легких в случае диффузного заболевания существенно снижается.
Чем опасен фиброз корней легких?
Этот недуг вызывает серьезные сбои дыхательной функции. При этом у больного происходит растяжение легочных тканей, из-за чего снижается их эластичность. Заболевание вызывает необратимые патологические изменения, которые сильно влияют на качество жизни человека.
Что значит прикорневой пневмофиброз?
Прикорневой — рубцовые изменения обнаруживаются в зоне соединения легкого с органами средостения.
Советы
СОВЕТ №1
Регулярно проходите медицинские обследования, особенно если у вас есть предрасположенность к заболеваниям легких. Раннее выявление плевропневмофиброзов может значительно улучшить прогноз и качество жизни.
СОВЕТ №2
Обратите внимание на свои симптомы. Если вы замечаете постоянный кашель, одышку или боли в грудной клетке, не откладывайте визит к врачу. Эти симптомы могут указывать на развитие плевропневмофиброзов.
СОВЕТ №3
Изучите факторы риска, связанные с плевропневмофиброзами, такими как курение, воздействие токсичных веществ и хронические заболевания легких. Снижение воздействия этих факторов может помочь в профилактике заболеваний.
СОВЕТ №4
Поддерживайте здоровый образ жизни, включая сбалансированное питание и регулярные физические нагрузки. Это поможет укрепить иммунную систему и улучшить общее состояние легких.



